小さい虫歯は顕微鏡を用いて歯質の切削を最小限にとどめ、充填します
麻酔を使用するケースでも、表面麻酔を塗ってから行うので針のお痛みを極力おさえます。
保険の範囲内でも、最近では硬質樹脂製の白色の被せが適応になっています。CEREC(条件有り)
歯石除去やヤニ取りなどの歯のクリーニングも承っております。
|
|
インプラント インプラントご希望の方は、まずレントゲンのCTを撮影し、インプラント手術ができるかどうかの顎の骨の状態を検査をさせていただきます。 そのうえで、手術可能であればインプラントのメーカーの選択(こちらで取り扱っていますのは、アストラ製、京セラ製のものが主流になります。) 費用は、ご相談の上になります。約30万〜【サージカルガイド込み】 |
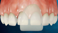
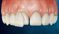
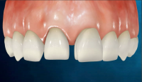
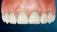
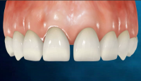
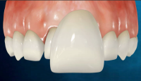
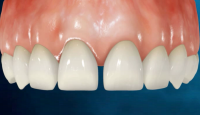
| 歯並びや歯の色でお悩みの場合はラミネートベニヤと呼ばれる付け爪のような修復物で 気になる部分を短期間で治すことができます。 |

矯正 こちらで行う矯正は、2ヶ月から2年ぐらいの治療期間を要するミニ矯正を行っております。
症例によっては、矯正用インプラントを用いて行いますので、治療期間を短縮することも可能です。
費用は、ご相談のうえになりますが、10万円〜になります。
ホワイトニング こちらで行うホワイトニングは、主にお家で行うHOMEホワイトニングとこちらの医院で行うOFFICEホワイトニングに
分かれます。オフィスホワイトニングはホワイトニングの薬剤を1本購入していただき、それを1週間から10日の間に2回に分けて施術させていただきます。
通常は2本から3本、個人差がありますので、1本でも白くなる方もいらっしゃいます。所要時間は初回は90分、2回目は60分くらいとなります。
費用はオフィスホワイトニングの場合は ホワイトニング薬剤 1本¥11,000になります。
ホームホワイトニングの場合は 薬剤をマウスピースの中にいれ、数時間、歯に装着して頂き、ご希望の白さになれば終了になります。
費用はマウスピース代+薬剤代(使用する薬剤濃度によって価格が違いますので、詳しくはご相談の上。
オフィスホワイトニングを終了してから行っていただくとより白さを保てます。)
〒532-0012
大阪市淀川区木川東3丁目4番31号
TEL 06-6301-5195
FAX 06-6305-8738